fourmillière cheval

Was ist die Erkrankung der weißen Linie bei Pferden?

Die Gesundheit der Pferdehufe ist von entscheidender Bedeutung, und unter den podotrochleären Erkrankungen ist die „WLD“- oder White-Line-Krankheit von besonderem Interesse. Heute möchten wir Ihnen Informationen über diese besondere Erkrankung vermitteln, die die wertvollen Hufe des Pferdes betrifft: die Krankheit, die als „Krankheit der weißen Linie“ oder „White-Line-Krankheit“ bekannt ist. In diesem Blogbeitrag informieren wir Sie über die Kennzeichen dieser Krankheit, konzentrieren uns auf ihre Warnsymptome und erklären, wie ein besseres Verständnis dieser Krankheit uns helfen kann, die Hufe unserer Pferde gesund zu halten. Darüber hinaus werden wir den Zusammenhang zwischen „WLD“ und der White-Line-Krankheit untersuchen.

Wie erkennt man WLD bei Pferden ?

Um „WLD“ bei Pferden zu erkennen, ist eine sorgfältige Beobachtung der charakteristischen Anzeichen erforderlich. Entdecken Sie die Schlüsselindikatoren, die Ihnen helfen können, diese Hufbeschwerden zu erkennen.

> Welche Symptome sind typisch ?

effeuillage de la corne, fourmillière cheval

Ausbrechen des Hufhorns und optische Veränderungen der weißen Linie

Ein Hauptsymptom des „WLD“ ist die Abtrennung der Hufwand , die mit einer Verbreiterung der weißen Linie einhergeht (1). Dieses Symptom führt zu einem vergrößerten Hohlraum zwischen der Hufwand und der Sohle und fördert so das Wachstum von Bakterien und Pilzen. Wenn man die weiße Linie untersucht, kann man diese abnormale Trennung visuell beobachten. Eine Verbreiterung der weißen Linie kann auch auf eine Schwächung der Verbindung zwischen Hufwand und Sohle hinweisen, was auf ein gesundheitliches Problem am Pferdehuf hinweisen könnte, was sehr häufig bei Hufrehe (2) beim Pferd der Fall ist. Daher ist es wichtig, auf sichtbare Veränderungen wie Risse im Huf oder Veränderungen in der Struktur der weißen Linie zu achten.“

contamination fourmillière

Empfindlichkeit des Pferdehufes

Die Empfindlichkeit des Pferdehufes ist ein wesentlicher Indikator, sie kann sich auf verschiedene Weise äußern. Eines der häufigsten Symptome sind Schmerzen, die sich beim Gehen des Pferdes auf harten Untergründen wie Steinen oder unebenem Boden bemerkbar machen. Die erhöhte Empfindlichkeit kann auch zu ungewöhnlichen Reaktionen beim Umgang mit den Hufen führen, wie z. B. einem plötzlichen Zurückziehen der Beines oder einem Widerwillen, den Huf anzuheben. Diese Empfindlichkeitszeichen können mit Problemen wie „WLD“ oder anderen Hufbeschwerden in Zusammenhang stehen.

maladie infectieuse fourmillière cheval

Lahmheit

Lahmheit, besonders wenn sie anhaltend ist, ist eines der offensichtlichsten Symptome einer Erkrankung der weißen Linie bei Pferden. Wenn Ihr Pferd regelmäßige, auch leichte Lahmheit aufweist, kann dies ein Zeichen für Schmerzen im Zusammenhang mit Hufproblemen sein. Eine sorgfältige Beobachtung des Gangs des Pferdes, insbesondere nach dem Training, kann dabei helfen, diese Veränderungen in seinem Bewegungsverhalten zu erkennen.

> Andere Hufkrankheiten, die möglichen Folgen einer Erkrankung der weißen Linie ?

Wenn eine „WLD“ den Huf des Pferdes befällt, wird sie zu einem potenziellen Eintrittspunkt für Bakterien und Verunreinigungen, was schwerwiegende Folgen haben kann. Die Lockerung der Verklebung der Hufwand und die Verbreiterung der weißen Linie schaffen einen Raum, der das Eindringen pathogener Mikroorganismen begünstigt. Bakterien aus der Umwelt können in diesen gefährdeten Bereich eindringen und zu Infektionen führen. Wenn Bakterien in das innere Gewebe des Hufes eindringen, kann es zur Bildung von Abszessen kommen. Ein Abszess entsteht dadurch, dass das Immunsystem die Infektion bekämpft, wodurch sich Eiter in der Hufhöhle ansammelt. Diese entzündliche Reaktion kann für das Pferd schmerzhaft sein und erfordert ein sofortiges Eingreifen des Tierarztes. Darüber hinaus schafft die Erkrankung der weißen Linie einen Nährboden für Strahlfäule, einen Zustand, bei dem Bakterien Gewebe abbauen.

Als wesentlicher Bestandteil des Pferdehufes erfüllt der Strahl entscheidende Funktionen für die Fortbewegung und die allgemeine Hufgesundheit. Eine Fehlfunktion des Strahls birgt erhebliche Risiken, da sie sich negativ auf Rückfederung, Fortbewegung und Dämpfung auswirkt und somit zu einer erhöhten Belastung der Gelenke führt.

Wissenschaftlicher Prozess: Was sind die Ursachen für WLD bei Pferden ?

Die Entstehung der Erkrankung der weißen Linie bei Pferden ist das Ergebnis einer komplexen Reihe pathologischer Mechanismen.

> Verantwortliche Erreger: Bakterien und Pilze

Das Auftreten der Erkrankung der weißen Linie bei Pferden beruht auf komplexen pathologischen Mechanismen, die einer detaillierten Analyse bedürfen: zunächst Mikroorganismen, darunter anaerobe Bakterien wie Fusobacterium necrophorum und Pilze der Gattung Candida (3).

 

Insbesondere anaerobe Bakterien nutzen den Sauerstoffmangel im Bereich des Hufes zum Gedeihen. Ihr Stoffwechsel erzeugt Giftstoffe, die zu Nekrose des Hufgewebes führen. Auch das Vorhandensein von Pilzen trägt zur Verschlimmerung lokaler Entzündungen bei. Als Reaktion auf diesen mikrobiologischen Angriff wird das Immunsystem des Pferdes aktiviert, was eine oft schmerzhafte Entzündungsreaktion auslöst.

> Eintrittspforten: Risse, Wunden, sonstige mögliche Eintrittspunkte

Der Abbau organischer Stoffe im Zusammenhang mit der WLD beim Pferd dreht sich um den Abbau von Keratin, einem strukturellen Faserprotein, das im Horngewebe des Hufes vorherrscht. Dieser Abbau ist hauptsächlich auf die Stoffwechselaktivität anaerober Bakterien, insbesondere Fusobacterium necrophorum (4), zurückzuführen, die die Strahlregion besiedeln.

 

Keratin ist ein Makromolekül, das aus Proteineinheiten besteht und eine feste und widerstandsfähige Struktur bildet. Anaerobe Bakterien produzieren jedoch Enzyme wie Proteasen und Keratinasen, die in der Lage sind, die Peptidbindungen zwischen den Aminosäurebestandteilen des Keratins zu spalten. Diese Enzyme bauen somit die dreidimensionale Proteinstruktur von Keratin in einfachere Peptide und Aminosäuren ab.

 

Die direkte Folge dieses enzymatischen Abbaus ist eine erhebliche Veränderung der strukturellen Integrität von Keratin, was zu einer Schwächung des Hufgewebes führt. Dieses Phänomen führt makrologisch zu einem bröckeligen und zerbrechlichen Horn.

schéma fourmillière cheval
schéma fourmilière  sabot
fourmilière bactéries schéma
schéma fourmillière cheval

Durch den Keratinabbau werden reaktive Stellen auch anderen biochemischen Reaktionen ausgesetzt, was zu einer Kaskade entzündlicher und nekrotischer Prozesse in der betroffenen Region beiträgt. Diese Ereignisse verursachen die charakteristischen Symptome einer Erkrankung der weißen Linie, darunter Entzündungen, Schmerzen und schließlich die Bildung von Rissen im Hufgewebe.

> Bildung eines Hohlraums

Nachdem wir untersucht haben, wie Mikroorganismen in den Huf eindringen und wie sie das Horn abbauen können, können wir nun verstehen, wie sie wachsen und tiefe Hohlräume im Huf bilden.

Der Feuchtigkeitsgrad des Hufs (zwischen 25 und 30 %), einschließlich des Strahls, ist ein entscheidender Parameter für die Erhaltung der Gesundheit des Pferdehufes. Ein optimales Gleichgewicht zwischen Feuchtigkeit und Trockenheit ist wichtig, um eine Schwächung oder übermäßige Erweichung des Keratins zu verhindern. Eine normale Feuchtigkeit trägt dazu bei, die Flexibilität des Strahls aufrechtzuerhalten und gleichzeitig Bedingungen zu vermeiden, die die Vermehrung pathogener Mikroorganismen begünstigen.

- Bakterienvermehrung :

Durch die Zersetzung organischer Stoffe entstehen Nährsubstrate, die ein Umfeld schaffen, die die Vermehrung von Bakterien begünstigt. Die schnelle Vermehrung anaerober Bakterien und Pilze führt zu einem deutlichen Anstieg ihrer Population im Pferdehuf.

- Bildung von Hohlräumen :

Durch die Vermehrung von Krankheitserregern in Verbindung mit dem Gewebeabbau entsteht ein Hohlraum zwischen dem Horn und dem Inneren des Hufes. Dieser Hohlraum ist oft mit nekrotischen Zelltrümmern, Eiter und Bakterienrückständen gefüllt und bildet so einen Entzündungsherd.

- Druck und Komplikationen :

Das erhöhte Vorhandensein von infiziertem Material im Hohlraum kann Druck auf das umliegende Gewebe ausüben und möglicherweise zu einer Kompression von Blutgefäßen und nahegelegenen anatomischen Strukturen führen. Diese Komplikationen können lokale Entzündungen verschlimmern und dazu beitragen, dass die WLD noch tiefer in den Huf vordringt. Bei einer Überwucherung durch Pilze, etwa der Candida-Art, kann der Befall sogar auf die Knochen übergreifen.

Wie erkennt und diagnostiziert man WLD bei Pferden ?

> Schwierigkeiten bei der Erkennung

Die Besonderheit des Umfeldes dieser anatomischen Region stellt erhebliche Hindernisse für die Identifizierung und Diagnose der Erkrankung der weißen Linie dar.

- Fehlen einer allgemeinen Lahmheit :

Das Vorhandensein einer Erkrankung der weißen Linie beim Pferd oder Esel führt zunächst in der Regel nicht zu einer Lahmheit, was die Erkennung besonders schwierig macht. Eine ausgedehnte WLD kann jedoch zu Problemen wie Empfindlichkeit auf unterschiedlichem Gelände oder auch zu Lahmheit führen.

- Sichtbarkeit bei der Hufpflege, des Ausschneidens oder des Beschlagens: Wichtigkeit einer regelmäßigen Kontrolle :

Bei der Hufpflege, des Ausschneidens oder des Beschlagens ist die beste Gelegenheit, Probleme im Zusammenhang mit der Erkrankung der weißen Linie im Pferdehuf frühzeitig zu erkennen.

 

Beim Ausschneiden oder Beschlagen befasst sich der Hufschmied unmittelbarer mit diesem Hufbereich. Dies bietet eine einzigartige Gelegenheit, die Hufoberfläche genau zu beobachten, mögliche Anomalien zuerkennen (5) und die Konsistenz des Horns durch Abtasten zu beurteilen.

 

Die regelmäßige Hufpflege, einschließlich Reinigung und Pflege durch den Besitzer, ist auch eine Gelegenheit, die Gesundheit des Hufes zu überprüfen und die Symptome von der Erkrankung der weißen Linie beim Pferd zu erkennen. Zur Erinnerung: Die WLD zeichnet sich durch eine Ablösung der Hufwand, eine Verbreiterung und/oder Vertiefung der weißen Linie des Hufes, ein Horn, das wie Kreide zerbröckelt, und möglicherweise durch das Vorhandensein wiederholter Abszesse aus.

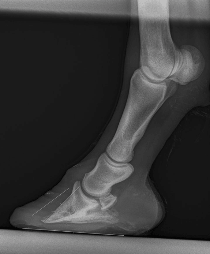
- Eine Röntgenaufnahme: Unverzichtbares Hilfsmittel zur Identifizierung der WLD

Eine Röntgenaufnahme stellt in bestimmten Fällen ein interessantes Hilfsmittel bei der Erkennung und Diagnose der Erkrankung der weißen Linie im Pferdehuf dar, da sie detaillierte Informationen über die inneren Strukturen liefern kann.

radiographie fourmillière cheval
Darstellung von Knochenstrukturen :

Röntgenaufnahmen ermöglichen eine genaue Darstellung der knöchernen Strukturen des Hufes, einschließlich der Wand, der Sohle und des Strahls. Betroffene Bereiche können auf dem Röntgenbild als verschwommene oder verblasste Bereiche erscheinen.

 

souches
Erkennung abnormaler Bereiche :

Indem sich die WLD in den Huf gräbt, entstehen Bereiche und Hohlräume, die visuell schwer zu erkennen sind. Mithilfe von Röntgenaufnahmen können diese abnormalen Bereiche entdeckt werden, die auf das Vorhandensein einer Erkrankung der weißen Linie hinweisen könnten, selbst in einem frühen Stadium, in dem äußere Anzeichen noch fehlen.

Die Qualität des Hufhorns hängt nämlich direkt mit der Struktur von Keratin zusammen, dem faserigen Protein, aus dem Pferdehufe bestehen.

pathologie fourmillière cheval
Die Beurteilung von Stützstrukturen :

Das Röntgenbild hilft bei der Beurteilung der Beschaffenheit der Stützstrukturen des Hufes, wie z. B. der Hornschicht und der Anatomie des Hufes.

 

atteinte immunitaire cheval locomotion fourmillière
Überwachung der Fortschritte :

Röntgenaufnahmen bieten auch eine effektive Möglichkeit, die Entwicklung der Krankheit der weißen Linie im Laufe der Zeit zu verfolgen. Dadurch können Pferdemediziner die Wirksamkeit der angewandten Behandlungen bewerten und die Interventionen entsprechend anpassen.

 

Wie bekämpft man Krankheit der weißen Linie bei Pferden ?

> Präventive Maßnahmen

- Durchführung einer guten Hufpflege

Die regelmäßige  Hufpflege ist ein wesentlicher Bestandteil im Kampf gegen WLD bei Pferden.

bactérie
Regelmäßige Reinigung :

Der erste Schritt zur Verhinderung der Entstehung der Erkrankung der weißen Linie ist das regelmäßige Auskratzen und Reinigung der Hufe. Durch die Beseitigung von Ablagerungen, Schmutz und überschüssiger Feuchtigkeit reduzieren wir die für die Entwicklung von WLD günstigen Bedingungen. Und vor allem ist es, wie bereits erwähnt, möglich, den Zustand der Hufe genau zu überwachen und erste Anzeichen zu erkennen.

parage fourmillière cheval
Richtiges Aussschneiden :

Für die Hufgesundheit ist ein regelmäßiges und ordnungsgemäßes Ausschneiden der Hufe durch einen kompetenten Hufschmied oder Hufpfleger unerlässlich. Tatsächlich können ungepflegte Hufe oder eine schlecht durchgeführte Hufbearbeitung einen unangemessenen Druck erzeugen, der dazu führt, dass sich die Hufwand und Risse ablösen und so Mikroorganismen Tür und Tor öffnen.

soin fourmillière cheval
Pflegeroutine :

Um das Horn des Hufes zu stärken, Risse zu vermeiden und so Eintrittspunkte für Mikroorganismen zu verhindern, und um dem Pferd bei der Bekämpfung der in seiner Umgebung vorhandenen Mikroorganismen zu helfen, kann der Einsatz von Hufpflegeprodukten interessant sein. Wir empfehlen Frog Equilibrium, eine ideale Creme für die routinemäßige Hufpflege. Sie stärkt die Keratinschichten und hilft dem Pferd durch ihre reinigenden Wirkstoffe bei der Bekämpfung möglicher schädlicher Mikroorganismen und verringert so das Risiko der Entstehung der Krankheit der weißen Linie.

 

- Kontrolle einer sauberen und trockenen Umgebung

Die Aufrechterhaltung einer sauberen Box, einer angemessenen Bewirtschaftung der Weide und die Vermeidung von Schmutzansammlungen tragen wesentlich dazu bei, ein günstiges Umfeld für die Vermeidung der WLD zu schaffen.

maladie infectieuse
Saubere Box :

Eine saubere Box ist wichtig, um übermäßige Feuchtigkeit zu vermeiden, eine Bedingung, die die Entwicklung von Bakterien und damit auch WLD begünstigt. Durch die regelmäßige Entfernung von Mist und gebrauchter Einstreu sowie eine gute Belüftung minimieren wir die begünstigenden Faktoren für den Befall der Erkrankung der weißen Linie.

plaie fourmillière cheval
Pflege der Weide :

Eine ordnungsgemäße Weidebewirtschaftung ist für die Aufrechterhaltung einer trockenen und gesunden Umgebung unerlässlich. Besonders feuchte Gebiete sollen vermieden werden, die Weiden sollten öfter gewechselt werden und die Anzahl der Pferde je nach Fläche berücksichtigt werden.

évitez les lésions
Entwässerung :

Die Sicherstellung einer guten Entwässerung der Umgebung des Pferdes ist entscheidend, um die Ansammlung von stagnierendem Wasser zu verhindern. Maßnahmen wie die Schaffung geeigneter Erhebungen, die Installation von Abflüssen und der Umgang mit dem Regenwasser tragen dazu bei, eine trockene Umwelt aufrechtzuerhalten.

Wie behandelt man die Erkrankung der weißen Linie bei einem Pferd ?

> Behandlungsstufen

- Hufpflege zur Desinfektion und Regulierung des Feuchtigkeitsgehalts

Ab den ersten Anzeichen einer Schwachstelle am Huf oder dem Auftreten der Erkrankung der weißen Linie ist es wichtig, eine Hufpflegeroutine durchzuführen.

soins adaptés fourmillière cheval
Auswahl geeigneter Pflegeprodukte :

Es ist wichtig, eine nicht okklusive und desinfizierende Hufpflege zu wählen. Diese Produkte ermöglichen eine ausreichende Atmung des Hufgewebes und bieten gleichzeitig Schutz vor anaeroben Bakterien.

 

produits assainissant fourmillière cheval
Verwendung von Desinfektionsmitteln :

Diese Produkte tragen zur Erhaltung eines gesunden Umfeldes bei, indem sie die Anfälligkeit für Bakterien und andere Mikroorganismen verringern. Sie sind besonders nützlich für Pferde, die häufig mit kontaminierten Umgebungen in Kontakt kommen.

bactérie et lymphocytes
Stärkung des Horns :

Die Verwendung von Produkten, die zur Stärkung des Horns und zur Verdickung der Hufsohle beitragen, ist unerlässlich. Diese Behandlungen erzeugen stabile Verbindungen zwischen den Keratinschichten und erhöhen die Widerstandskraft des Horns.

- Behandlung bei Vorliegen der Erkrankung der weißen Linie

produits de soin fourmillière cheval
Anwendung spezifischer Produkte:

Sollte bereits eine Erkrankung der weißen Linie vorhanden sein, empfiehlt es sich, flüssige Produkte zu verwenden, die direkt auf die Lücken und Löcher aufgetragen werden können. Ein Beispiel ist das Produkt Frog Equilibrium Express.

lésions
Vorsicht bei Desinfektionsmitteln:

Die Verwendung starker Desinfektionsmittel und Wasserstoffperoxid sollte mit Vorsicht erfolgen, da sie die Geweberegeneration verzögern und die nützliche mikrobielle Flora zerstören können.

 

- Medizinische Lösungen

In bestimmten schwerwiegenden Fällen einer Erkrankung der weißen Linie ermöglicht die Zusammenarbeit mit einem Tierarzt eine gezielte und wirksame Vorgehensweise bei der angemessenen Behandlung. Die medizinische Behandlung von WLD bei Pferden umfasst den umsichtigen Einsatz einer Reihe medizinischer Behandlungen, darunter Antibiotika, Antimykotika und andere spezifische Behandlungen, oft unter Aufsicht eines Tierarztes.

antibiotiques fourmillière cheval
Antibiotika :

Im Falle einer nachgewiesenen bakteriellen Infektion kann die Gabe oraler oder injizierbarer Antibiotika erforderlich sein, um die Vermehrung der für die Erkrankung der weißen Linie verantwortlichen Bakterien zu kontrollieren. Die Wahl des Antibiotikums hängt von der Art der Bakterien ab und es ist wichtig, die Empfehlungen des Tierarztes genau zu befolgen.

antifongiques fourmillière cheval
Antimykotika :

In Fällen, in denen Pilze beteiligt sind, können Antimykotika oral oder durch Injektion verschrieben werden, um diese Krankheitserreger zu beseitigen. Wie bei Antibiotika wird die Art des Antimykotikums auf der Grundlage der spezifischen Diagnose des Tierarztes bestimmt.

 

 

- Rückfälle

Nach der Behandlung der Erkrankung der weißen Linie bei Pferden ist eine sorgfältige Überwachung und Pflege unerlässlich, um Rückfälle zu verhindern und eine dauerhafte Heilung zu fördern.

produts soin cheval fourchette
Wachsamkeit angesichts von Rückfällen :

Achten Sie auf Anzeichen eines möglichen Rückfalls. Sehr oft entwickelt sich die Erkrankung der weißen Linie erneut, nachdem die Behandlung zu früh beendet wurde.

 

soins fourmillière cheval
Regelmäßige Pflege des gesamten Hufes :

Sorgen Sie für eine regelmäßige Pflege des gesamten Hufes. Dazu gehören die tägliche Reinigung, Pflege, Hufpflege mit stärkenden Produkten und eine sorgfältige Untersuchung, um frühzeitige Anzeichen von Problemen zu erkennen.

 

fortification de la cornz
Stärkung von Horn und Keratin :

Fördern Sie ein gesundes Horn- und Keratinwachstum durch eine ausgewogene Ernährung und die Verwendung spezifischer Produkte.

 

traitement fourmillière cheval
Desinfektionspflege :

Tragen Sie weiterhin regelmäßig ein desinfizierendes Pflegeprodukt auf.

FAQ zur Erkrankung der weißen Linie beim Pferd

Was ist die Erkrankung der weißen Linie beim Pferd?

Die Erkrankung der weißen Linie ist eine Hufkrankheit, die durch eine Trennung zwischen der Hufwand und der Sohle gekennzeichnet ist. Dadurch entsteht ein Umfeld, in dem sich Bakterien und Pilze entwickeln können.

Diese Zersetzung führt zu einer Schwächung des Horns, zu Rissen, inneren Hohlräumen und manchmal zu Komplikationen wie Abszessen.

Was sind die Symptome der Erkrankung der weißen Linie beim Pferd?

Zu den charakteristischsten Anzeichen gehören:

  • Abblättern des Horns und sichtbare Verbreiterung der weißen Linie
  • Brüchiges Horn
  • Ablösung der Hufwand
  • Erhöhte Empfindlichkeit des Hufes
  • Schmerzreaktionen bei der Manipulation des Hufes
  • Lahmheit
  • Mögliche Abszesse oder ein ungewöhnlicher Geruch infolge der Infektion

Was sind die Hauptursachen der Erkrankung der weißen Linie beim Pferd?

Die Erkrankung ist auf eine Kombination mehrerer Faktoren zurückzuführen:

  • Pathogene Mikroorganismen (anaerobe Bakterien wie Fusobacterium necrophorum, Pilze wie Candida)

  • Eintrittspforten: Risse, Hornspalten, Ablösung der Hufwand, Verletzungen

  • Abbau der Keratinstruktur durch Enzyme, die von Bakterien und Pilzen produziert werden

  • Übermäßige Feuchtigkeit, schlecht gepflegte Boxen, schlammige oder feuchte Böden

  • Unregelmäßige oder ungeeignete Hufbearbeitung, die Druckzonen schafft und Ablösungen begünstigt

  • Schwache Hornqualität, teilweise im Zusammenhang mit Hufrehe

Wie kann man der Erkrankung der weißen Linie vorbeugen?

Zu den wichtigsten Maßnahmen gehören:

  • Gründliche Hufhygiene
  • Regelmäßige und fachgerechte Hufbearbeitung
  • Saubere und trockene Umgebung
  • Verwendung eines desinfizierenden Pflegeprodukts für die tägliche Routine, wie Frog Equilibrium, das den Huf stärkt und schützt und gleichzeitig die Entwicklung von Bakterien und Pilzen begrenzt
Welche natürlichen Pflegemaßnahmen werden zur Behandlung der Erkrankung der weißen Linie beim Pferd empfohlen?

Ziel der Behandlung ist es, das Hufmilieu zu sanieren, die Hornqualität zu verbessern und die Vermehrung von Mikroorganismen zu begrenzen:

  • Regelmäßiges Auskratzen des Hufes, um Schmutz und Verunreinigungen zu entfernen und den Verlauf zu überwachen
  • Anwendung eines sanierenden Pflegeprodukts, das tief in die Hohlräume eindringt: Frog Equilibrium Express ist ideal, da es ohne Okklusion wirkt und ein für anaerobe Bakterien ungünstiges Umfeld schafft
  • Stärkung des Horns durch Pflegeprodukte, die die Festigkeit der Keratinlamellen fördern
  • Angepasste Hufbearbeitung, um gelöste Bereiche zu entfernen und die normale Funktion des Hufes wiederherzustellen

Kann die Erkrankung der weißen Linie nach einer Behandlung wieder auftreten?

Ja, Rückfälle sind häufig, insbesondere wenn die Pflege zu früh beendet wird. Um ein Wiederauftreten zu vermeiden, ist es notwendig:

  • Eine regelmäßige Pflegeroutine beizubehalten
  • Anzeichen von Schwäche aufmerksam zu beobachten
  • Sanierende Pflege auch nach sichtbarer Besserung fortzusetzen
  • Keratinstruktur und Horn langfristig zu stärken
  • Eine saubere und trockene Umgebung sicherzustellen

Referenzen :

  1. Septic conditions of the equine foot, J Am Vet Med Assoc. 1972 Dec 1;161(11):1276-9.

  2. Other Clinical Problems of the Equin Foot. Vet Clin North Am Equine Pract. 2021 Dec;37(3):695-721. doi: 10.1016/j.cveq.2021.08.005.

  3. Buffa, Eugene et al. Effect of dietary biotin supplement on equine hoof horn growth rate and hardness. Equine Vet J. 1992.-

  4. Higami, A. Occurence of white line disease in performance horses fed on low-zinc and low-copper diets. J Equine Sci. 1999.

  5. O’Grady, S. and Burns, T.D. White line disease: A review (1998-2018). Equine Vet Edu. 2019.

  6. O’Grady, S. A fresh look at white line disease. Equine Vet Edu. 2011.